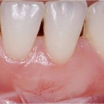
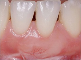
Tegenwoordig zien tandartsen steeds meer patiënten die teruggetrokken tandvlees hebben bij de voortanden. Deze tandvleesdefecten komen vaak door een harde poetstechniek met name bij de tanden die te ver naar voren staan. Indien de patiënt geen klachten heeft en het tandvlees stabiel is, hoeft er geen behandeling plaats te vinden. De blootliggende wortel moet wel goed worden schoongehouden. Vaak hebben patiënten wel klachten zoals gevoeligheid, het lastig kunnen schoonhouden van het gebied, te veel bloeding en tandsteen. Bij een instabiele situatie trekt het tandvlees steeds verder terug. Patiënten vinden dit vaak esthetisch storend; lelijk. Door middel van een chirurgische behandeling in onze kliniek kan de tand met het plaatselijk teruggetrokken tandvlees bedekt worden. Hiervoor wordt een tandvleestransplantaat uit het gehemelte genomen. Dit gebeurt onder plaatselijke verdoving en duurt ongeveer een uur. Post-operatieve controles vinden plaatst na 2, 8 en 12 weken. De behandeling geeft vaak een mooi resultaat met een stabiele en goede esthetische verbetering. Het is zeer belangrijk dat voor en na de chirurgie de situatie in de mond gezond is zodat het tandvleestransplantaat niet gaat ontsteken en verloren gaat.







